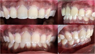
Light activated bleaching of discoloured non-vital tooth
Trauma and
pulpal infections are part of the routine of the dental practice. Common
consequences in these cases are alterations in dental color, compromising
patient’s esthetics and his interaction in social environment. Bleaching aids
to preserve dental structure as compared to full coverage crowns and also show
immediate esthetic results. This clinical case shows a bleaching technique in
devitalized teeth using bleaching agent with 35% hydrogen peroxide activated by
LED light. The technique is simple to perform and also shows satisfactory
results.
Informed consent was taken before treatment. On the onset of treatment, the shade of the discoloured tooth was assessed under normal daylight with a Vita porcelain shade guide (Vita classic) and also, a pre-bleaching photograph was taken for the record. On the first appointment 2mm of gutta-percha is removed from the canal orifice with a heated instrument and restored with GIC up to the canal orifice and the shape of the cervical barrier is made replicating the CEJ level and the interproximal bone level. And the pulp chamber is closed with temporary restoration (CaVit). 2 days later the bleaching process was started. The gingival is protected by water-soluble cream (Vaseline) applied to soft tissues, and rubber dam isolation was achieved, the flowable light-cured dam is placed in the gap between tooth and rubber dam. For this technique, a high concentration of hydrogen peroxide 35% is used. It is available as a powder liquid system. It is mixed in 1:1 proportion. The mixture is inserted into the pulp chamber with an amalgam carrier. It is then activated with LED light for 5 minutes to increase the chemical reaction as advised by the manufacturer. This process is repeated twice more where we changed the gel and repeated the bleaching until desired results were obtained. Then, the pulp chamber was rinsed and dried and filled with calcium hydroxide to be left in the pulp chamber for 2 weeks before the final or permanent filling material. Clinical evaluation was recorded by comparing the tooth shade with its original one before treatment using the Vita porcelain shade guide and photographs. After a week tooth was restored with composite resin, both in 11 and 12. Final polishing is done after 1 day and the patient was reviewed after 3 months and no colour variation was observed.



Comments
Post a Comment